Thursday, January 7, 2021

Liver Abscess Empiric Antibiotics

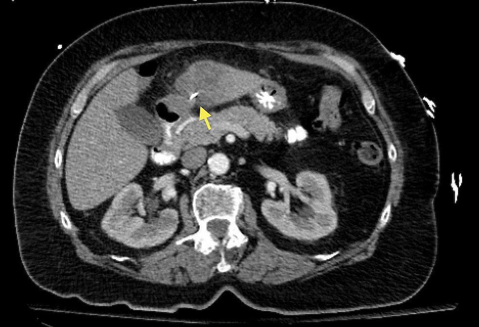
Broad-spectrum antibiotic therapy should be started empirically when the diagnosis of liver abscess is suspected initial therapy should target gram-positive, gram-negative, and anaerobic organisms, including bacteroides species johannsen ec, sifri cd, madoff lc pyogenic liver abscesses. Liver abscess empiric antibiotics. Empiric antibiotics a immediate management most pyogenic liver abscesses should be aspirated by ultrasound-guided or ct-guided percutaneous drainage, often with placement of catheter to allow.

liver abscess empiric antibiotics

Pyogenic Liver Abscess | SpringerLink

Pyogenic liver abscess | springerlink

Cureus | Liver Abscess Caused by Ingestion of a Sewing Needle

Liver abscess is a common medical emergency prompt empirical antimicrobial with or without percutaneous aspiration or drainage of the abscess is therapeutic an empiric antimicrobial regimen for liver abscess should cover enteric gram-negative bacilli, streptococci, anaerobes and antamoebahistolytica. One reason for this problem is that it is common that pus from a liver abscess is collected after administration of antibiotics. 1 this may lead to an under-estimation of bacteria causing liver abscess and may also contribute to a gap in physician knowledge to determine which antibiotic is most appropriate for treatment. this raises another issue of selection bias, where the positive culture results may have a more resistant profile if patients had received antimicrobial therapy prior to. The management of pyogenic liver abscesses usually requires 4 weeks of antibiotic therapy. it is unknown if oral (po) antibiotics are as effective as intravenous (iv) antibiotics for this indication. objectives.

more info liver abscess empiric antibiotics---> click here

0 comments:

Post a Comment